Regular professional cleanings help maintain healthy gums. Healthy gums are the starting point for outstanding oral health. A house requires a sturdy foundation to stand strong through the seasons and over the years. Likewise, teeth rely on healthy gum and bone for strength and support.
Since each individual's ability to resist periodontal disease is different, you need to follow the recommendations of Dr. Steve concerning the frequency of cleanings you need at the dental office.
Recent research has suggested a correlation between gum disease and increased risk of heart disease, stroke, heart attack, and arthritis. Furthermore some research also implies a relationship between gum disease and increased risk of pre-term labor and low birth weight babies for pregnant woman.
There are a variety of proactive gum therapies which can boost your level of oral health and stop gum disease. Remember - oral health is an integral part of your general health and well being.




Periodontal bacteria are removed every time you have a regular cleaning done at the dental office. However, if there is a heavy amount of bacteria due to disease, a periodontal cleaning may be necessary.
Scaling and root planing or periodontal cleanings are done in two or more appointments and under local anesthesia. Special antibiotic rinses are also used in order to reduce the number of bacteria. This is the first step in treatment of periodontal disease. If minimal or no improvement is seen after this treatment, then further steps such as periodontal surgery may be necessary to stop the infection and to restore the tissues to health.
Since each individual's ability to resist periodontal disease is different, you need to follow the recommendations of your dentist concerning the frequency of cleanings you need at the dental office.
The most important thing we may ever do for you is our comprehensive exam. Not only will we check your teeth and gums for disease, we will also perform complete head and neck, TMJ, and soft tissue cancer-screening exams.
Early detection can make all the difference in your oral and general health!
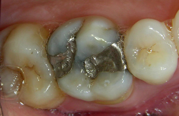
We perform most general and cosmetic dental procedures right here in our office: Diagnostic and preventive procedures (like x-rays, exams, and cleanings); operative procedures (like fillings, crowns, bridges, and high-tech single-visit CEREC inlays, onlays, partial crowns and crowns); root canal treatment; root planing (deep cleaning); and minor oral surgery (like extraction of hopeless teeth).
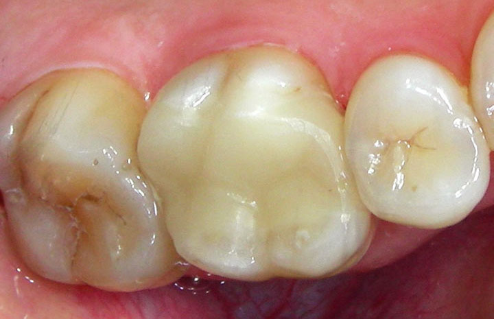
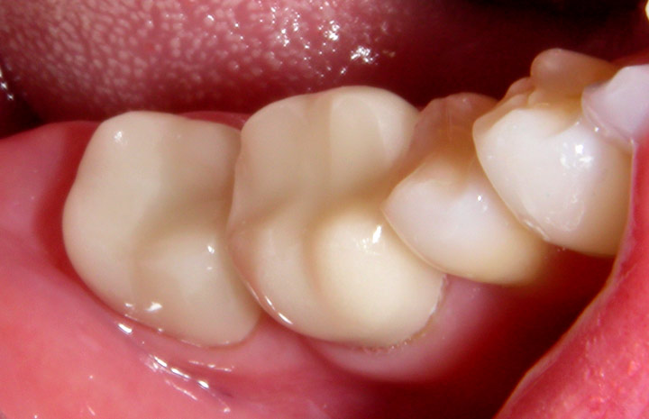
There are many ways to restore teeth. Often, if the problem is relatively small, a tooth-colored restoration is used to restore the tooth by bonding a white filling directly to the tooth enamel.
However, when a larger portion of the tooth is involved, an inlay, onlay, partial crown, or full crown may be indicated. These are all restorations that are fabricated outside of the mouth and then glued or bonded to the tooth. There are a variety of materials and techniques to accomplish these magnificent restorations, but Dr. Steve's favorite way is using CEREC technology. CEREC, an acronym for ceramic reconstruction, is a very sophisticated computer-aided design (CAD) and computer-aided manufacturing (CAM) system.
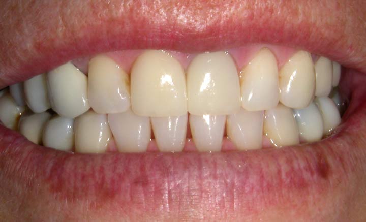
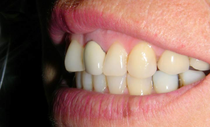
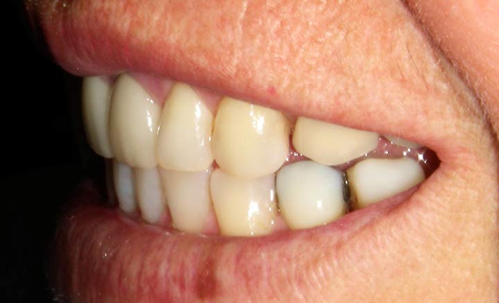
Bridges - The loss of a tooth can greatly affect your oral health and personal appearance. When one or more teeth are missing, the remaining unsupported teeth can drift, lean, or twist. A dental bridge is made of several crowns connected to each other in order to replace one or more missing teeth. This procedure helps prevent the shifting and turning of your teeth, while restoring your smile and your ability to chew.
The bridge spans the space where one or more teeth have been lost in the dental arch.
Together, the replacement teeth and crowns are fabricated and placed in the mouth as one non-removable unit called a fixed bridge.
Most of our efforts are given to saving and restoring your teeth, but there are conditions which warrant the removal of a tooth: advanced periodontal disease, severe decay, infection or abscess, fractured or impacted teeth.
Extractions are performed with great care to save supporting bone and gum tissues. In this way we preserve the maximum structures to support the placement of implants, bridges, partial dentures, or dentures.
The most important thing we may ever do for you is our comprehensive exam. Not only will we check your teeth and gums for disease, we will also perform complete head and neck, TMJ, and soft tissue cancer-screening exams. Early detection can make all the difference in your oral and general health!
TMJ (Temporomandibular joint and muscle disorders) refers to conditions that cause pain and dysfunction in the jaw joint and the muscles that control jaw movement. Some patients react to stress by grinding or clenching their teeth unconsciously during the day and more commonly, while sleeping at night.
Clenching and grinding of the teeth can cause jaw pain, destroy the surface of your teeth, and cause vertical fractures in the teeth. Nightguards are dental appliances carefully molded to fit a patient's upper or lower dental arches, and worn at night prevent tooth damage due to clenching and grinding.
Root Canal Therapy is necessary when there is severe damage to the pulp within the tooth. An untreated cavity is the most common cause of this infection. Other causes include trauma, irritation by large fillings, or gum disease.
Root Canal treatment is generally completed in one or two visits. The pulp tissue is accessed by a small hole made in the top of the tooth. The diseased pulp is removed and the empty canals are disinfected and sealed. A crown or permanent filling will be required to complete the process.
A root canal on a tooth is necessary if there is damage to the nerves inside the roots due to trauma, deep cavities, irritation by large fillings, or gum disease. Root canal treatment may be necessary regardless of whether there is pain in a tooth.

A portion of your tooth enamel is removed to give access to the root. The diseased root pulp is then removed.
The root is filled with synthetic pulp material and the cavity is filled with an amalgam or a tooth-colored filling material.

Root canal treatment is generally completed in one or two appointments. During the treatment the tooth is opened to expose the nerves, the nerve is then removed and the space it occupied is cleaned and disinfected.
A special filling is then used to replace the missing nerves in order to seal and prevent future infection of the roots.

Since a great deal of tooth needs to be removed in order to gain access to the nerves, a post and buildup is used to replace the missing structure after the root canal is finished.
The tooth is then covered with a crown in order to prevent fracture.

Thanks to modern dental material and techniques, fillings do not always have to be an ordeal. In fact, if we catch cavities forming in the deep grooves of back teeth in the early stages, restoration may not even require dental anesthetic.
That's right! These fillings can usually be placed without a shot. We use "sand paper on a stick" to carefully grind out the area of enamel that has been invaded by bacteria and then bond a tooth-colored composite filling in the defect. The procedure usually takes only a few minutes.
The aim of minimally invasive mocro dentistry is to remove as little of the natural tooth as possible while removing all of the decay. By treating decay at the earliest possible stage, we can protect and maintain the optimal amount of your healthy tooth structure.