Full Mouth Reconstruction

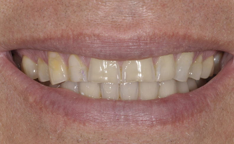
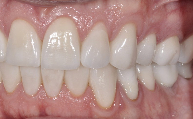
A full mouth reconstruction uses various general and restorative dentistry techniques to make your mouth look its best and feel its healthiest. If you have numerous broken teeth, worn teeth, or multiple missing teeth, then a full mouth reconstruction may be your best option.

A full mouth reconstruction begins with a comprehensive examination. Dr. Steve will examine your mouth, identify the problems, and determine what treatment options can be used to restore it. Full mouth reconstruction may require a combination of dental procedures, such as bonding, crowns, veneers, dental implants, and more.


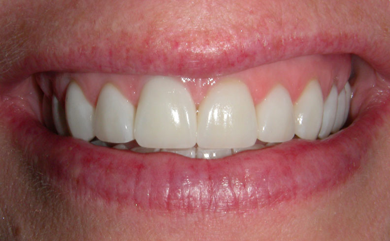
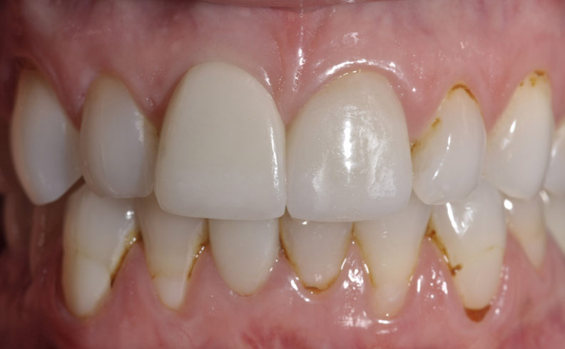
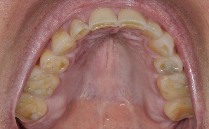
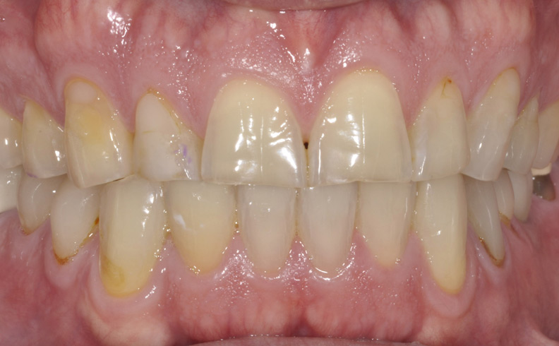
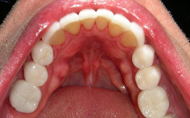
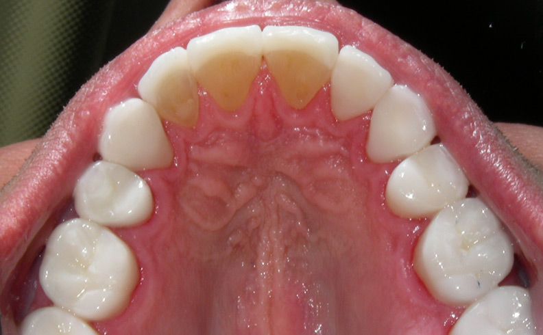
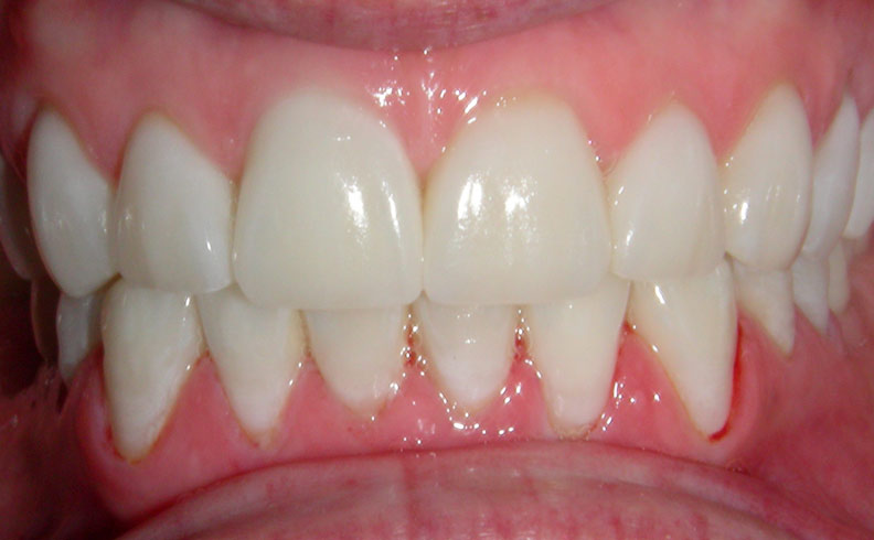
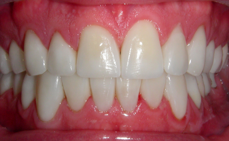
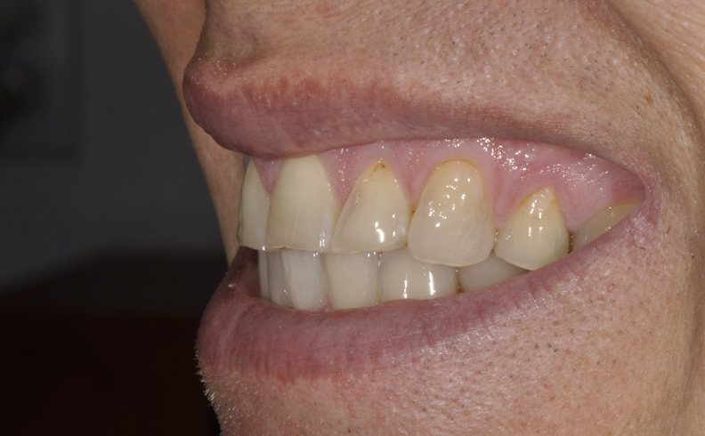
Full Mouth Reconstruction Examples

#1 Before

#1 After


#2 Before

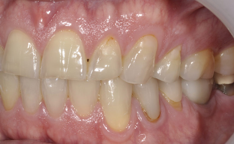
#2 After


#3 Before

#3 After