Dental Bonding

There are many ways to restore teeth. Often, if the problem is relatively small, a tooth-colored restoration is used to restore the tooth by bonding a white filling directly to the tooth enamel.

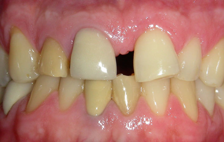
Do you have chips or spaces in your front teeth that prevent you from having an attractive smile? Bonding is a method where we can repair chips or spaces between teeth by using composite resin materials that match the color of your teeth. These materials in combination with Dr. Steve's artistry create a perfectly natural looking smile.

Dental Bonding can be used:

  • To restore the tooth with a white filling (composite resins are used to fill cavities)
  • To repair chips or spaces between teeth
  • To improve the appearance of discolored teeth
  • To improve a smile by changing the shape of teeth

Dental Bonding Examples

Redwood City Dentist Dental Bonding
Before
Redwood City Dentist Dental Bonding
After
Redwood City Dentist Dental Bonding
Before
Redwood City Dentist Dental Bonding
After
Click Here for Dental Bonding Gallery

Tooth Colored Fillings

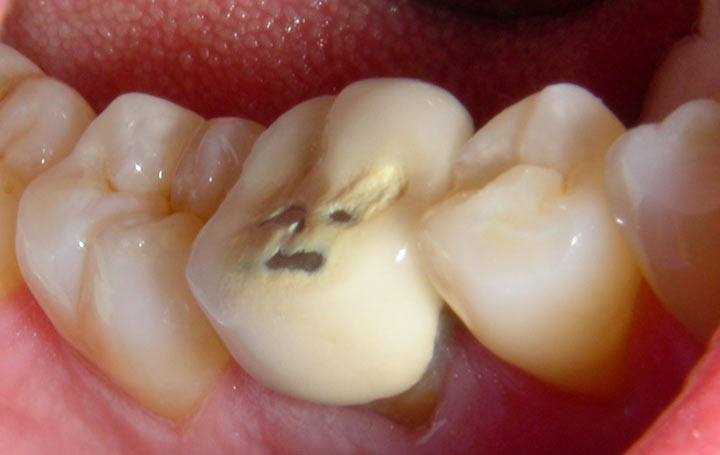
There are many ways to restore teeth, but in our practice we do not use mercury containing metal fillings (amalgams). Often, if the problem is relatively small, a tooth colored restoration is used to restore the tooth by bonding a white filling directly to the tooth enamel.

A dental filling is needed when bacteria have invaded your tooth, resulting in tooth decay. In the past, dentists used traditional metal fillings to fill cavities. Tooth colored fillings as you can see below, can substantially improve the beauty of your teeth.

When a larger portion of the tooth is involved, an inlay, onlay, partial crown, or full crown may be indicated. These are all restorations that are fabricated outside of the mouth and then glued or bonded to the tooth. There are a variety of materials and techniques to accomplish these magnificent restorations, but Dr. Steve's favorite way is using CEREC technology. CEREC, an acronym for ceramic reconstruction, is a very sophisticated computer-aided design (CAD) and computer-aided manufacturing (CAM) system.

Tooth Colored Fillings » Examples

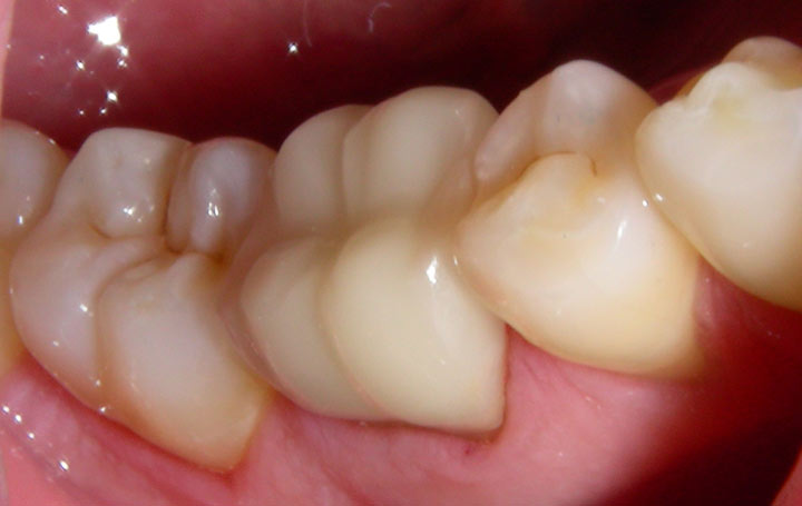
Redwood City Dentist Dental Crowns
Before
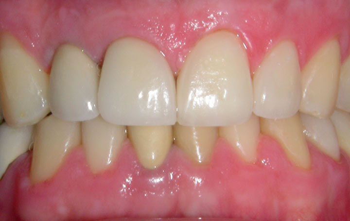
Redwood City Dentist Dental Crowns
After
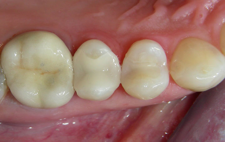
Redwood City Dentist Dental Crowns
Before
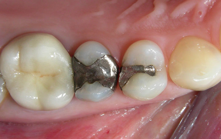
Redwood City Dentist Dental Crowns
After


Dr. Steven Kolokithas DDS

Tooth Whitening

We can help whiten your teeth up to five shades! Bleaching is used to correct the discoloration and staining caused by coffee, smoking, aging, old restorations etc.

An impression of your teeth is taken to make a custom tray that will hold the whitening gel against your teeth. You can apply the process any time at your leisure. The results are dramatic and can be seen within the first 2 applications.



Dental Veneers

Dental Veneers (also called porcelain veneers or dental porcelain laminates) are porcelain facings that are bonded over the front of teeth to create better shape, color, size and orientation to improve your smile.

Veneers are used to recreate the natural look of teeth while also providing strength and resilience comparable to natural tooth enamel.

Veneers may be used to:

  • Mask discolorations for a brighter smile
  • Change a tooth's color, size, and shape
  • Repair gaps in teeth or fix teeth that are chipped or broken

Dental Veneers Examples

Redwood City Dentist Dental Veneers
Before
Redwood City Dentist Dental Veneers
After
Redwood City Dentist Dental Veneers
Before
Redwood City Dentist Dental Veneers
After
Click Here for Dental Veneers Gallery