Dr. Steve uses the latest advances in Dental Technology. Digital X-Rays reduce exposure up to 90% and deliver an image instantly!
How much radiation is involved with dental x-rays?
Using state of the art technology, a full set of x-rays will deliver a dose of 3 millirem of radiation. This is equal to 4 days of being outdoors. Federal and state regulations for workers whose occupation involves exposure to radiation sets 5000 millirems of radiation per year as safe.
The Center for Devices and Radiological Health of the Food and Drug Administration (www.FDA.gov), the American Dental Association (www.ADA.org), the National Council on Radiation Protection and Measurements are a few of the organizations that monitor x-ray usage. Many states also have regulations regarding x-rays and x-ray equipment.
This is a set of x-rays that targets all the teeth individually. Generally, this includes 18 to 20 x-rays.
Panoramic x-rays cover the entire mouth, jaw and sinuses on a single film. This type of x-ray is most useful in the detection of many problems including abscesses and impacted teeth, but are not precise enough to detect small cavities in between teeth.
You may be concerned when your dentist tells you that x-rays need to be taken. You may wonder whether they are really necessary, how you can benefit from them, and whether or not there will be any risk to your health. We'll try to provide some specific answers to those questions here.
Dental X-Rays provide information for detection, diagnosis and treatment of conditions that can threaten your oral and general health. Many of these diseases are not visible with the naked eye. Here is a list of uses that can only be detected using x-rays:

Undetectable Cavity

X-Ray (Showing Cavity)
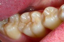
Dental X-rays are essential for detecting cavities which may not be visible to the naked eye. The example to the left show a tooth that to all appearances is healthy.
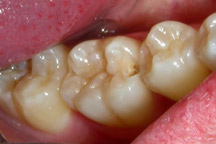
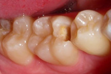
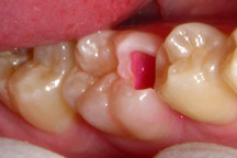
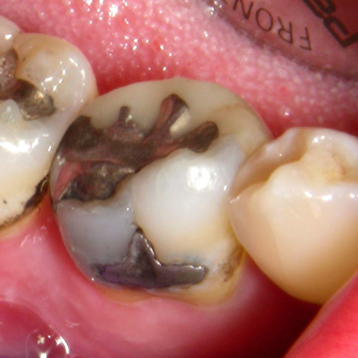
This X-Ray shows (shadow on the bottom center tooth) that there is indeed a cavity. The images below show the cavity being uncovered and repaired.




A picture just might be worth a thousand words, and by using an intra-oral camera we can show you your tooth on a color monitor. The video camera is only the size of an electric toothbrush, but has a resolution so fine that we can even show you a hairline crack in a tooth.
The intra-oral camera is a powerful tool that enables detailed visual examinations (up to 40X magnification ) of a patient's teeth. This technology greatly enhances our ability to see problems and recommend treatment at the earliest, and most preventable stages.
Seeing is believing! This technology, an integral part of Doctor Steve's comprehensive examination, helps us to clarify conditions, alert you to potential problems, and to document the progress of your dental care.
CAESY Patient Education CAESY is the most comprehensive patient education program in dentistry. It helps many patients to be more informed, and consequently more relaxed about dental procedures.
CAESY Perspective’s live-action videos with crisp, state-of-the-art 3D animations explain complex procedures in easy-to-understand language.
For More Information:
www.caesy.com
Dental records consist of documents related to a patient's dental history. A thorough understanding of a patient's dental history is essential for Dr. Steve to best treat each patient.
Today, more than ever, people are concerned about keeping their personal information private and secure. We understand and respect that desire and take the necessary steps to insure our data is kept safe and can only be accessed by authorized personnel.
Digital records eliminate the potential for losing or misfiling patient “charts” and data encryption and password protection prevent unauthorized individuals from gaining access to them.